您的位置:首页 > 安卓软件 > 装机必备 > 飞图影像
飞图影像是浙江飞图影像科技有限公司开发的一款云影像数据服务手机软件。它专注于提升医疗机构信息化水平,以此强化各医院间的业务协作。通过融合创新大数据、云计算、移动互联网技术与医学影像科学,这款软件为用户提供了医生移动阅片、医学影像共享、示教培训、智能胶片、双向转诊、远程协作会诊、人工智能诊断深度应用等一系列解决方案。
飞图影像App是飞图影像云平台的移动端应用,医生通过此应用,可实现以下功能:
- 移动办公——随时随地调阅影像数据,无论在院内还是院外,都可阅片、写报告;
- 医疗协作——疑难病例发起协助请求,请求上级医生或专家予以协助,远程诊断;
- 交流研讨——与其他医生分享病例,进行专业研讨和学术交流,提升专业技能。
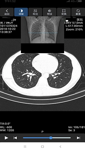
- 原始数据,高清影像——DICOM格式,信息细节全保存,精度更高;
- 多项功能,强大实用——可实现WL、测量、角度、CT值、旋转等操作;
- 使用简便,快速上手——符合医生使用习惯,无需过多繁琐学习过程;
- 秒传秒开,体验顺滑流畅——凭借领先的GPU计算、影像预加载以及影像本地保存等技术,彻底告别卡顿、模糊与加载等待过久的困扰。
多重举措保障安全——严格进行审核,并实施二次验证,以此防范数据遭到恶意使用;采用加密传输方式,避免信息泄露。
安全稳
飞图影像云平台拥有多重防护机制,通过多项安全认证并被国内大型军队医院应用,安全性能有保证。
技术强
飞图影像云平台具备加载速度快、图像精准以及运行稳定等诸多优势,其功能的多样性、系统的流畅性和处理的高效性,得到了业内专家与医生的一致认可。
资质全
飞图影像掌握核心技术,已获得国家监管部门认可的各项资质以及各项知识产权100余项。
服务优
飞图影像不仅提供软件与硬件一体化解决方案,还同时提供教育培训、课题合作、科研支持、医疗资源导入等增值服务,以及完善的售后服务。
经验足
飞图影像云平台已在全国近千家医院实现落地,覆盖单体医院、医联体(医共体)以及区域平台,打造出众多典型项目。
联合科研
产学研一体化发展
依据医院的医疗优势、学科特色以及具体需求,对浙江大学的优质科研资源加以整合,三方携手共同成立医疗大数据与人工智能研究中心,针对医疗大数据与人工智能技术展开相关课题的研究工作。
教育培训
提供专业课程及交流平台
资源导入
按需导入医生资源
为特定医院或地区引入全国各层级的专家资源,使高水平专家能够借助平台为当地医疗提供支持。针对基层医院的影像医生以及医学生,开展教育培训、学术交流等服务,推动基层医生队伍的培育。
丽水市区域影像协同平台
实现全市影像大数据的统一管理与应用
实现上下级医院的实时会诊、医疗协作
浙江医疗卫生服务“最多跑一次”亮点工程
遵义市医学影像大数据中心
通过当地改府招商引资落地项目
实现遵义市区域影像数据统一管理
实现区域医院医学影像大数据监管
浙江桐庐县域医共体云影像平台
浙江省县域医共体建设样板
实现数字影像服务及远程会诊等功能
打通资源壁垒,实现医疗资源共享
浙江飞图影像科技有限公司作为一家高新技术企业,专注于医学影像大数据管理应用服务领域。飞图影像借助大数据、云计算、人工智能以及移动互联网技术与医学影像科学的融合创新,自主研发打造出“专业影像云 + 人工智能应用平台”。公司以医学影像云服务为核心,提供集“软件 + 硬件 + 服务”于一体的完整解决方案,助力各级医疗机构推进信息化建设以及“互联网 +”应用,从而推动健康中国的建设。
v2.19.4:
1、影像页面:是否显示四角信息
2、影像页面:心胸比
3、影像页面:1:1/自适应显示切换
4、影像页面:标注:显示\\\\隐藏
5、影像页面:标注:任意形状
6、影像页面:标注:局部放大(放大镜)
7、影像页面:定位图隐藏显示
添加移动网络调阅影像提醒
经营养成
其他
角色扮演
休闲益智
装机必备
聊天
其他软件
网赚
中国风
飞图影像
飞图影像是浙江飞图影像科技有限公司开发的一款云影像数据服务手机软件。它专注于提升医疗机构信息化水平,以此强化各医院间的业务协作。通过融合创新大数据、云计算、移动互联网技术与医学影像科学,这款软件为用户提供了医生移动阅片、医学影像共享、示教培训、智能胶片、双向转诊、远程协作会诊、人工智能诊断深度应用等一系列解决方案。
软件功能
飞图影像App是飞图影像云平台的移动端应用,医生通过此应用,可实现以下功能:
- 移动办公——随时随地调阅影像数据,无论在院内还是院外,都可阅片、写报告;
- 医疗协作——疑难病例发起协助请求,请求上级医生或专家予以协助,远程诊断;
- 交流研讨——与其他医生分享病例,进行专业研讨和学术交流,提升专业技能。
软件特色
- 原始数据,高清影像——DICOM格式,信息细节全保存,精度更高;
- 多项功能,强大实用——可实现WL、测量、角度、CT值、旋转等操作;
- 使用简便,快速上手——符合医生使用习惯,无需过多繁琐学习过程;
- 秒传秒开,体验顺滑流畅——凭借领先的GPU计算、影像预加载以及影像本地保存等技术,彻底告别卡顿、模糊与加载等待过久的困扰。
多重举措保障安全——严格进行审核,并实施二次验证,以此防范数据遭到恶意使用;采用加密传输方式,避免信息泄露。
产品优势
安全稳
飞图影像云平台拥有多重防护机制,通过多项安全认证并被国内大型军队医院应用,安全性能有保证。
技术强
飞图影像云平台具备加载速度快、图像精准以及运行稳定等诸多优势,其功能的多样性、系统的流畅性和处理的高效性,得到了业内专家与医生的一致认可。
资质全
飞图影像掌握核心技术,已获得国家监管部门认可的各项资质以及各项知识产权100余项。
服务优
飞图影像不仅提供软件与硬件一体化解决方案,还同时提供教育培训、课题合作、科研支持、医疗资源导入等增值服务,以及完善的售后服务。
经验足
飞图影像云平台已在全国近千家医院实现落地,覆盖单体医院、医联体(医共体)以及区域平台,打造出众多典型项目。
产品服务
联合科研
产学研一体化发展
依据医院的医疗优势、学科特色以及具体需求,对浙江大学的优质科研资源加以整合,三方携手共同成立医疗大数据与人工智能研究中心,针对医疗大数据与人工智能技术展开相关课题的研究工作。
教育培训
提供专业课程及交流平台
资源导入
按需导入医生资源
为特定医院或地区引入全国各层级的专家资源,使高水平专家能够借助平台为当地医疗提供支持。针对基层医院的影像医生以及医学生,开展教育培训、学术交流等服务,推动基层医生队伍的培育。
代表案例
丽水市区域影像协同平台
实现全市影像大数据的统一管理与应用
实现上下级医院的实时会诊、医疗协作
浙江医疗卫生服务“最多跑一次”亮点工程
遵义市医学影像大数据中心
通过当地改府招商引资落地项目
实现遵义市区域影像数据统一管理
实现区域医院医学影像大数据监管
浙江桐庐县域医共体云影像平台
浙江省县域医共体建设样板
实现数字影像服务及远程会诊等功能
打通资源壁垒,实现医疗资源共享
公司介绍
浙江飞图影像科技有限公司作为一家高新技术企业,专注于医学影像大数据管理应用服务领域。飞图影像借助大数据、云计算、人工智能以及移动互联网技术与医学影像科学的融合创新,自主研发打造出“专业影像云 + 人工智能应用平台”。公司以医学影像云服务为核心,提供集“软件 + 硬件 + 服务”于一体的完整解决方案,助力各级医疗机构推进信息化建设以及“互联网 +”应用,从而推动健康中国的建设。
更新内容
v2.19.4:
1、影像页面:是否显示四角信息
2、影像页面:心胸比
3、影像页面:1:1/自适应显示切换
4、影像页面:标注:显示\\\\隐藏
5、影像页面:标注:任意形状
6、影像页面:标注:局部放大(放大镜)
7、影像页面:定位图隐藏显示
添加移动网络调阅影像提醒
最新更新
下载排行
碧蓝航线
经营养成
点点消
其他
碧蓝航线官网版
角色扮演
最新的Zoom动物马仙踪林
休闲益智
豆包app
装机必备
畅快工具大全
聊天
对对交友官网版
其他软件
嗨看短视频红包版
网赚
新斗罗大陆
中国风
热门合集